12 февраля, 18:15
Хирурги Москвы успешно извлекли булавку из бронха 11-летнего мальчика из Калининграда



КП Калининград | Новости региона
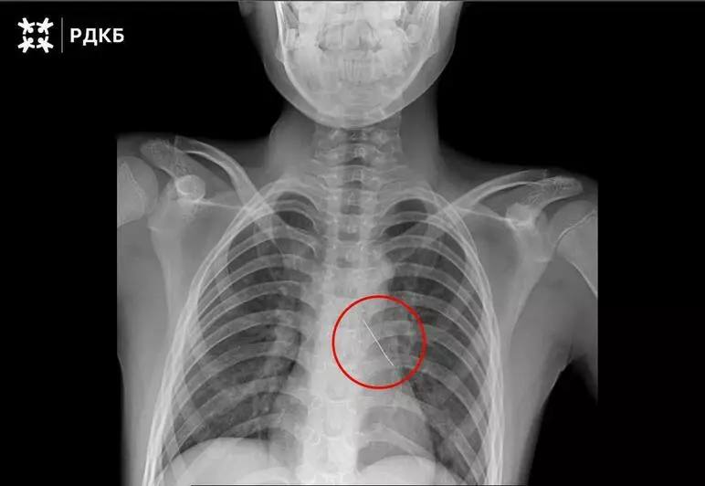
В Москве хирурги спасли ребёнка из Калининграда который вдохнул булавку Изогнутая французская булавка пронзила бронх что могло привести к серьезным нарушениям дыхания и даже коллапсу легкого 11 летнего пациента доставили в столицу бортом санавиации Мальчик мог только шептать и испытывал сильные боли Хирурги извлекли инородное тело с помощью оптических щипцов Кровотечение купировалось самостоятельно Через три дня после успешной операции ребёнка выписали Фото тг канал Российской детской клинической больницы

Клопс
Главное на данный момент Московские хирурги спасли школьника вдохнувшего булавку В Калининграде рухнула крыша стоянки Семье выставили счёт за свет на 126 тысяч рублей В Калининграде вторые сутки ищут 12 летнего мальчика На Московском проспекте вспыхнули троллейбусные провода Из Преголи вытащили мужчину упавшего с моста Жительница Гурьевска рассказала как соседка преследует ее семью Поддержите нас бустом чтобы получать еще больше качественного контента
Похожие новости



+4



+5



+3



+15



+10



+8

Прокуратура проверяет инцидент с падением штукатурки на коляску в Челябинске
Происшествия
5 часов назад


+4
Инцидент с перцовым газом в школе Владивостока: пятеро детей получили помощь
Происшествия
1 день назад


+5
Стрелок задержан после инцидента с подростком в Люберцах
Происшествия
2 часа назад


+3
Нападение на 7-летнюю девочку в Наро-Фоминске: подозреваемый задержан
Происшествия
1 день назад


+15
Подросток пострадал на аттракционе в Стерлитамаке: прокуратура проводит проверку
Происшествия
1 день назад


+10
Взрыв на детской площадке в Красногвардейском районе: обстоятельства выясняются
Происшествия
1 день назад


+8