7 февраля, 19:40
Вирус Нипах: первая смерть в Бангладеш и низкий риск глобального распространения, по данным ВОЗ

360 новости
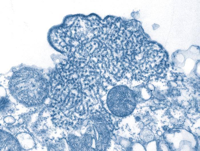
Во Всемирной организации здравоохранения ВОЗ заявили что риск мирового распространения вируса Нипах низкий Об этом следует из релиза организации Риск мирового распространения болезни оценивается как низкий говорится в документе Отмечается что 3 февраля Бангладеш проинформировал ВОЗ о выявленном случае заражения вирусом Нипах у женщины в возрасте 40 50 лет Известно что она была госпитализирована 28 января в тот же день заболевшая скончалась Лица кто контактировал с погибшей находятся под наблюдением медиков Ранее в Роспотребнадзоре рассказали о тест системе помогающей выявлять вирус Нипах На данный момент случаев завоза болезни на территорию РФ не выявлено
Происшествия16 часов назад

Баррель черной икры
Смертельный вирус Нипах из Индии начал захватывать мир Первая смерть зафиксирована в Бангладеш врачи не смогли спасти женщину Летальность вируса достигает 75 а вакцины от него не существет Вирус передаётся от летучих мышей свиней и от человека к человеку Среди симптомов лихорадка головные боли мышечные боли рвота боль в горле а в тяжёлых случаях воспаление головного мозга и кома Также у заражённых могут наблюдаться изменения личности и судорожные припадки Учёные считают новый вирус гораздо более опасным чем ковид banki oil
Происшествия4 часа назад

RadioTravel
Индийский вирус Нипах начал распространяться по миру пишут СМИ Так в Бангладеш был зафиксирован первый случай заражения за пределами Индии скончалась женщина поступившая в больницу с симптомами лихорадки и судорог При этом вирус был выявлен у неё только после смерти Она могла заразиться употребляя сырой сок финиковой пальмы Основной источник инфекции летучие мыши и загрязнённые фрукты The Экономист
Происшествия4 часа назад

Липецкач • Новости Липецка
Вирус Нипах распространяется в мире смертность от него от 40 до 75 Он передается от летучих мышей и свиней а также от человека к человеку Среди симптомов высокая температура головная и мышечная боль рвота и боль в горле Вакцины пока нет Подписаться Написать нам
Происшествия4 часа назад


Беспощадный Банкстер
Вирус Нипах вышел за пределы Индии первый летальный случай зафиксирован в Бангладеш Заболевание передаётся от летучих мышей свиней и между людьми вызывая лихорадку рвоту воспаление мозга и кому Смертность достигает 75 а вакцины пока не существует bezposhady
Происшествия4 часа назад

Банкофф • Финансы
Смертельный вирус Нипах распространяется по миру Первая смерть зафиксирована в Бангладеш Женщина умерла через неделю после госпитализации врачи не смогли её спасти Вирус передаётся от летучих мышей свиней и от человека к человеку смертность достигает 40 75 Вакцины и лечения не существует Учёные считают Нипах опаснее ковида он вызывает воспаление мозга судороги кому и резкие изменения личности В азиатских аэропортах уже усилили контроль bankoffo
Происшествия4 часа назад

Прямой Эфир • Новости
Вирус Нипах из Индии добрался до Бангладеш первая жертва погибла летальность достигает 75 Вакцины нет заражение идёт от животных и человека Симптомы варьируют от лихорадки и болей до комы и судорог Прямой эфир Наш MAX
Происшествия4 часа назад

Москва сейчас
Смертельный вирус Нипах поглощает весь мир вакцины нет смертность составляет от 40 до 75 Вирус передаётся от летучих мышей свиней и от человека к человеку Из симптомов лихорадка головные боли мышечные боли рвота боль в горле а в тяжёлых случаях воспаление головного мозга и кома У заражённых может изменяться личность и происходят судорожные припадки
Происшествия4 часа назад

Москва 24
Вирус Нипах вышел за пределы Индии первый летальный случай зафиксирован в Бангладеш пишет РИА Новости Болезнь передаётся от летучих мышей и свиней а также может распространяться от человека к человеку При этом Всемирная организация здравоохранения призывает не поддаваться панике ВОЗ оценивает риск мирового распространения вируса как низкий Подписаться на Москва 24 Наши каналы Новости в MAX
Происшествия4 часа назад


Подслушано Ступино
Опасный вирус Нипах с летальностью до 75 распространяется в мире Эффективной вакцины против него пока не существует Вирус передаётся людям от летучих мышей и свиней а также при контакте между людьми Симптомы включают высокую температуру рвоту головные и мышечные боли В тяжёлых случаях развивается энцефалит приводящий к судорогам коме и изменениям личности
Происшествия3 часа назад

Похожие новости



+11



+2



+1






+18



+7

Ростовчанка, пострадавшая при атаке БПЛА в Новороссийске, выписана из больницы после 190 дней лечения
Происшествия
8 часов назад


+11
Переписка Эпштейна и Гейтса: обсуждение моделирования пандемий за три года до COVID-19
Наука
1 день назад


+2
Презентация первого в мире препарата для лечения болезни Бехтерева в России
Наука
1 день назад


+1
Москвичка столкнулась с выпадением волос после примерки шапки с маркетплейса
Происшествия
7 часов назад


Шестеро пострадавших в результате инцидента в общежитии, подросток госпитализирован
Происшествия
7 часов назад


+18
Атаки дронов ВСУ в Белгородской области: семь пострадавших, включая детей
Происшествия
7 часов назад


+7