30 января, 03:55
Владивостокская пенсионерка госпитализирована с анизакидозом после употребления слабосоленой сельди



Кровавая барыня
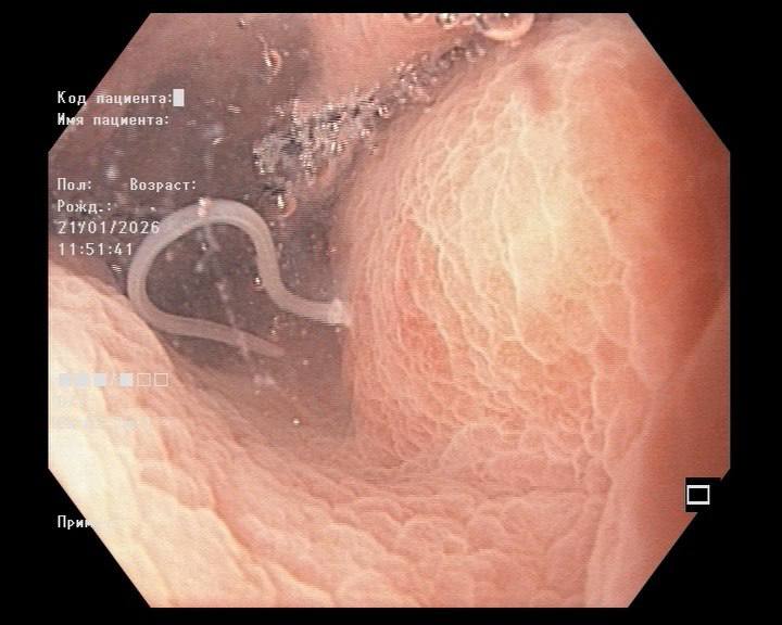
Червяков длиной в 4 см обнаружили у пенсионерки врачи Приморья 70 летняя жительница Владивостока обратилась за медицинской помощью с сильными болями в животе Терапевт направил пациентку на гастроскопию в Приморскую краевую клиническую больницу 1 Во время обследования врачи выявили анизакидоз острое паразитарное заболевание связанное с употреблением рыбы без достаточной термической обработки Как выяснилось накануне женщина съела слабосолёную сельдь купленную у частных продавцов Об этом в разговоре с Осторожно Media сообщил минздрав Приморского края К стенке желудка пациентки присосались два паразита длиной около 4 см Их удалили эндоскопически с помощью специальных щипцов После процедуры состояние пациентки улучшилось госпитализация не потребовалась Как уточнила главный эндоскопист Приморья Екатерина Кочергина подобное заражение может привести к серьёзным осложнениям включая перфорацию кишечника и перитонит Врачи напоминают что личинки гельминтов не погибают при обычной засолке Безопасность обеспечивают только промышленная заморозка и полноценная термическая обработка рыбы

Владивосток и точка 🔴
Во Владивостоке у пенсионерки в желудке обнаружили огромных червей после употребления рыбы 70 летнюю женщину госпитализировали с сильными болями в животе Во время эндоскопического обследования врачи выявили анизакидоз паразитарное заболевание связанное с употреблением сырой или плохо обработанной рыбы В желудке пациентки обнаружили двух червей длиной около 4 сантиметров присосавшихся к стенке органа Паразитов удалили с помощью эндоскопических щипцов после чего состояние женщины улучшилось Как выяснилось накануне она ела слабосолёную сельдь купленную у частных продавцов Медики предупреждают личинки паразитов не погибают при обычной домашней засолке безопасны только промышленная заморозка и полноценная термическая обработка рыбы Подпишись vdk i tochka


PRIMPRESS
Черви в желудке жительница Владивостока оказалась на операционном столе после того как поела селёдки Реальный случай который больше похож на страшилку произошел во Владивостоке У 70 летней местной жительницы в желудке обнаружили живых паразитов после того как она поела слабосоленую селёдку купленную на рынке возле дома у частника Женщина обратилась к врачам с сильными болями в животе Терапевт направил пациентку на гастроскопию Во время обследования эндоскописты увидели то что встречается нечасто но представляет серьезную опасность для здоровья К стенке желудка пациентки присосались два червя длиной около четырех сантиметров Врачи диагностировали анизакидоз острое паразитарное заболевание которое возникает после употребления рыбы и морепродуктов без должной обработки Опасных паразитов удалось сразу же удалить с помощью специальных эндоскопических щипцов ПОДРОБНЕЕ НА PRIMPRESS PRIMPRESS в MAX ДЗЕН ЧАТ БОТ


Приморье | Онлайн
Врачи извлекли огромных червей из желудка жительницы Владивостока после ужина селедкой 70 летняя пациентка обратилась в больницу с жалобами на сильные боли в животе Обследование выявило анизакидоз к стенке желудка женщины присосались два червя длиной около четырех сантиметров которых врачи оперативно удалили с помощью специальных щипцов Причиной заражения стала слабосоленая рыба купленная накануне у уличных торговцев Медики напоминают что обычная домашняя засолка не убивает личинки паразитов поэтому безопасность гарантируют только промышленная заморозка и термическая обработка а от приобретения морепродуктов в сомнительных местах лучше отказаться Хотите поделиться новостью Написать в Приморье Онлайн
Похожие новости



+3



+2



+1






+1



+8

Врачи Тюменской области успешно спасли девочку после укуса змеи
Происшествия
13 часов назад


+3
Сахалинские врачи успешно применили аппаратную гипотермию для спасения новорожденной из Углегорска
Происшествия
1 день назад


+2
Уголовные дела за незаконный вылов рыбы в ХМАО и Мурманской области
Происшествия
19 часов назад


+1
Змеиные укусы в Подмосковье: пенсионерка и ребенок госпитализированы
Происшествия
4 часа назад


Карантин по бешенству снят в Гродеково после успешной вакцинации
Наука
17 часов назад


+1
Пенсионерки из Минска и Краснодара стали жертвами телефонных мошенников
Происшествия
11 часов назад


+8