20 января, 15:41
Пациент с двумя искусственными желудочками сердца готовится к выписке из Мариинской больницы в Петербурге


Раньше всех
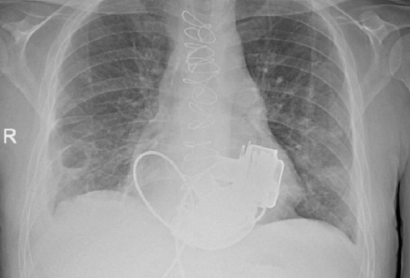
В Петербурге готовят к выписке пациента живущего без пульса В конце ноября 2025 года ему впервые в России имплантировали сразу два искусственных желудочка сердца левое и правое


Комсомольская правда: СПб
Первого пациента без естественного пульса готовят к выписке в Мариинской больнице Мужчина пережил сложную операцию на сердце и стал первым в России кто живет без естественного пульса В конце ноября 2025 года ему имплантировали два искусственных желудочка сердца левый и правый Об этом уникальном пациенте рассказали в пресс службе комитета по здравоохранению 36 летний Сергей поступил в больницу с тяжелыми диагнозами кардиомиопатией и терминальной сердечной недостаточностью Его сердце плохо функционировало а из за осложнений трансплантация органа была невозможна рассказали в комитете К слову в Мариинской больнице это уже десятый подобный пациент Читай нас в MAX Читай нас в Telegram


Клопс
Пульса нет вообще а вместо сердца два пламенных мотора в России впервые пациенту имплантировали оба желудочка В Санкт Петербурге врачи готовят к выписке пациента который теперь живёт без пульса В конце ноября 2025 года 36 летнему мужчине имплантировали одновременно левый и правый искусственные желудочки сердца Об этом рассказали в городском комитете по здравоохранению По словам главного врача Мариинской больницы Игоря Реутского когда Антон поступил в стационар показатели работы сердца были такими будто человек уже не жив а мёртв При этом из за сопутствующих осложнений трансплантация сердца была невозможна Операция продолжалась около 4 часов Для наших специалистов самым сложным было синхронизировать работу двух искусственных желудочков сердца но с этой задачей мы успешно справились Это доказывает высокий уровень развития кардиохирургии в нашем городе отметил главный внештатный специалист по сердечно сосудистой хирургии Санкт Петербурга Геннадий Хубулава

Комсомольская правда: СПб
Из Мариинской больницы выписали необычного пациента дело в том что у Антона вообще нет пульса Врачи диагностировали у него терминальную сердечную недостаточность Показатели сердца были такими будто мужчина уже мертв При этом из за различных осложнений трансплантация сердца была абсолютно невозможной Организм настолько износился что до операции мужчина просто бы не дожил Единственным вариантом спасения жизни кормильца и отца двоих детей была установка двух искусственных желудочков сердца Уникальную операцию провели в конце ноября минувшего года И вот теперь Антон готов к новой жизни Подробнее о том что его ждет в нашем видео Читай нас в MAX Читай нас в Telegram

Петербургский агрегатор
Из Мариинской больницы выписан человек с механическим сердцем 36 летний Антон Павлов стал первым петербуржцем которому вместо левого и правового желудочков установили механические насосы Для пересадки жизненно важного органа были противопоказания Операция прошла по программе запущенной по инициативе Губернатора для лечения больных с терминальной стадией хронической сердечной недостаточности Сейчас Антон восстанавливается и ждёт когда найдут подходящий донорский орган для трансплантации Подписывайтесь на наш канал в МАХ agregiruem


ivbg.ru Ленинградская область
Пациента без пульса выпишут из больницы в Петербурге Уникальный пациент которому впервые в России имплантировали сразу два искусственных желудочка сердца готовится к выписке из Мариинской больницы в Санкт Петербурге В Мариинской больнице готовится к выписке уникальный пациент который с недавних пор живет без пульса В конце ноября 2025 года ему впервые в России имплантировали сразу два искусственных желудочка сердца левое и правое рассказали в комитете здравоохранения города Операцию провели в конце ноября 2025 года 36 летнего петербуржца экстренно госпитализировали с тяжелейшими диагнозами кардиомиопатией и терминальной сердечной недостаточностью По словам врачей функциональные показатели работы сердца были критическими и находились на уровне характерном для мертвого человека Решение о проведении сложнейшего вмешательства принял главный врач Мариинской больницы Игорь Реутский Операция длилась около четырех часов Самым трудным этапом стало согласование и синхронизация работы двух искусственных желудочков Сейчас состояние пациента стабилизировано Он проходит завершающий этап реабилитации и готовится к выписке Фото пресс служба комитета по здравоохранению Петербурга Подпишитесь на ivbg ru Ivbg в Max

Vademecum Live
В Санкт Петербурге провели имплантацию сразу двух искусственных желудочков сердца В Городской Мариинской больнице в конце ноября 2025 года врачи выполнили пациенту имплантацию сразу двух искусственных желудочков сердца левого и правого По данным регионального Комздрава такую операцию провели в России впервые В стационар медучреждения 36 летний мужчина поступил с кардиомиопатией и терминальной сердечной недостаточностью также наблюдался ряд осложнений тромбоэмболия легочной артерии инфаркт пневмония и другие Это делало невозможным трансплантацию сердца Операцию проводила бригада высококвалифицированных хирургов под руководством главного внештатного специалиста по сердечно сосудистой хирургии Комитета по здравоохранению Санкт Петербурга академика РАН Геннадия Хубулавы Вмешательство продолжалось около четырех часов Самой сложной задачей стала синхронизация работы двух искусственных желудочков сердца перспективы


ФедералПресс
В Мариинской больнице Петербурга готовят к выписке 36 летнего Антона который живет без пульса Произошло это благодаря двум имплантированным искусственным желудочкам сердца У пациента диагностировали кардиомиопатию и терминальную сердечную недостаточность показатели работы сердца были критическими с осложнениями вроде тромбоэмболий и инфаркт пневмонии Импланты служат мостиком к трансплантации сердца на которую пациент надеется Для сравнения в екатеринбургской больнице 23 спасли мужчину с тремя пулями в груди включая критическую зону сердца во время двухчасовой операции у него дважды наступала клиническая смерть 38 минут потребовалось переливание 1 5 л крови и девять дней ИВЛ Подпишись на СЗФОшную

360 новости
В Санкт Петербурге врачи Мариинской больницы выписали домой пациента у которого пока нет пульса Он живет с механическим сердцем Уникальную операцию отцу двоих детей провели три месяца назад Больному впервые в России имплантировали сразу два искусственных желудочка Это временная мера перед трансплантацией У Антона Павлова теперь искусственное сердце которое работает от двух приборов на аккумуляторах Есть контроллер аппарат на который выводятся основные функции показывается количество оборотов в минуту пульсовой индекс мощность те параметры которые мы контролируем объяснила заведующая 1 м кардиологическим отделением СПб ГБУЗ Городская Мариинская больница Наталья Платонова Носить две сумки необходимо постоянно и не забывать заряжать аккумуляторы каждые 17 часов Но Антон уже привык Он понимает что это спасло ему жизнь Я рад что здоров что врачи меня спасли Спасибо им В принципе все хорошо Конечно риски были думал о рисках как все получится Но выбора не было Если бы не сделали операцию то я бы уже умер рассказал обладатель искусственного сердца Антон Павлов Антону всего 36 лет но в петербургскую Мариинскую больницу он поступил в терминальной стадии сердечной недостаточности с множеством осложнений Пациент с рецидивирующей тромбоэмболией У него постоянно образовывались тромбы которые стреляли в органы в легкие ему было трудно дышать у него развилась дыхательная недостаточность тяжелая на фоне тяжелой сердечной недостаточности говорит врач кардиолог СПб ГБУЗ Городская Мариинская больница Кристина Смелкова В такой ситуации спасти может только пересадка донорского сердца но провести трансплантацию оказалось невозможно из за противопоказаний Поэтому кардиохирурги решились заменить оба желудочка на механические Уникальная операция длилась четыре часа Пришлось отключить сердце пациента запустить искусственную систему кровообращения и имплантировать одновременно два механических насоса которые нужно было еще и правильно наладить Была проблема синхронизировать два искусственных левых желудочка которые у человека синхронизируются на уровне головного мозга вегетативной нервной системы А здесь две железки которые мы должны были сами искусственно садаптировать друг к другу поделился главный кардиохирург Санкт Петербурга академик РАН Геннадий Хубулава Операцию провели три месяца назад много времени понадобилось на восстановление Антону пришлось привыкать к гулу механических насосов которые теперь у него вместо сердца В принципе никаких ограничений у меня нет Я хожу я бы бегал если бы не сумки Чувствую себя прекрасно сказал Антон Ходить с сумками Антону придется недолго ведь через несколько месяцев он вернется в Мариинскую больницу чтобы получить донорское сердце Тогда и пульс к нему вернется
Похожие новости



+2






+7



+5






+2

Сахалинские врачи успешно применили аппаратную гипотермию для спасения новорожденной из Углегорска
Происшествия
1 день назад


+2
В Новосибирске разработаны уникальные онкологические имплантаты с использованием 3D печати
Наука
8 часов назад


СК России поручил ускорить расследование нападения на подростков в Павловке
Происшествия
1 день назад


+7
Ярмарка вакансий РостГМУ 2026: более 800 студентов и 50 работодателей обсуждают карьерные возможности
Общество
7 часов назад


+5
Итоги нацпроекта 'Продолжительная и активная жизнь' за I квартал 2026 года
Общество
1 день назад


Капитальный ремонт детской поликлиники в Прохладном: обновление после 36 лет
Общество
1 день назад


+2