7 октября, 15:59
Ранняя диагностика рака: успешные операции в Тюменской области и Нижнем Новгороде


Информационный центр Правительства Тюменской области
Оттягивание визита к врачу может привести к серьезным последствиям Житель Тюменской области в возрасте 63 лет страдал от геморроя Однако обращаться к врачу стеснялся и в течение почти 3 лет пытался справиться с проблемой самостоятельно Когда прежние методы перестали помогать он пришел в районную поликлинику Там его сразу направили на консультацию к онкологу в Медицинский город Врач онколог Маргарита Савицкая Выступало новообразование размером 6 см Опухоль плотно прилегала к предстательной железе Мы обнаружили рак на третьей стадии с распространением в прямую кишку Пациент прошел курс химиолучевой терапии После этого специалисты выполнили технически сложную операцию удаление прямой кишки вместе с анальным каналом с формированием колостомы После продолжительного восстановления пациента выписали и передали под наблюдение врачей по месту жительства В Медицинском городе ежегодно проводят около 15 подобных операций Такой вид рака нередко связан с вирусами папилломы человека ВПЧ и вирусом иммунодефицита человека ВИЧ Важна ранняя диагностика нельзя игнорировать тревожные симптомы заниматься самолечением и откладывать визит к врачу Пройти диспансеризацию можно бесплатно в поликлинике по месту жительства Департамент здравоохранения Тюменской области
Происшествия10 часов назад


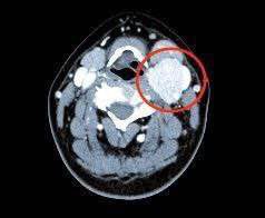
Мой Нижний Новгород
Врачи нижегородского онкоцентра спасли пациентку с редкой опухолью шеи Сосудистое новообразование называется каротидная хемодектома Часто появляется ещё в молодости и никак не заметна долгое время Из за такой опухоли человеку становится трудно дышать и глотать потом меняется голос начинаются боли и кровотечения Самое сложное в операции то что рядом находятся сосуды питающие головной мозг Малейшая неточность и человек может остаться инвалидом У хирургов всё получилось на контрольном приёме рецидивов у больной не было mynnovgorod
Происшествия7 часов назад
Похожие новости



+2



+5



+7



+1







+1

Врачи Нижнего Новгорода и Крыма успешно провели сложные операции на кистях
Происшествия
6 часов назад




Врачи Челябинска успешно провели редкую операцию беременной женщине
Наука
1 день назад




Увольнения главврачей в Иркутской области и Железногорске: кадровые изменения на фоне выборов и жалоб
Происшествия
23 часа назад




Запорожская область: Прогресс в онкологической помощи за три года
Наука
3 часа назад




Гарри Топор успешно перенес операцию на мозге и планирует возобновить гастроли
Шоу бизнес
17 часов назад




Врачи успешно извлекли камень из носа трёхлетней девочки в Одинцовском округе
Наука
22 часа назад


